This Mineral Deficiency is causing Arterial Calcification
Main Points
Emerging evidence suggests that low potassium levels may promote artery calcification by transforming vascular smooth muscle cells into bone-like cells. A recent mouse study found that animals on low potassium diets developed significantly more arterial calcification and stiffer arteries, likely due to gene expression changes favoring calcium deposition. While these findings are compelling, they’re not yet definitive in humans. Still, given potassium’s well-established cardiovascular benefits, ensuring adequate intake is a smart move. Potassium-rich foods like beans, fish, and leafy greens can help support heart health—possibly by keeping those arteries clean of calcium.
We’ve all seen the milk commercials touting calcium for strong bones—but strangely, they never mention calcium in arteries. Well, calcium in your arteries is bad news. In fact, the coronary artery calcium (CAC) score is a powerful predictor of heart disease: the higher the score, the greater your risk of a cardiovascular event. Ideally, arteries should be calcium-free pipes delivering oxygen and nutrients—not becoming fossilized plumbing.
So, the next logical question: what determines whether your arteries stay clean or calcify? According to a compelling new study, potassium—yes, the mineral we usually associate with bananas—may play a surprising and powerful role in whether or not your arteries become lined with calcium.
The Mouse Study
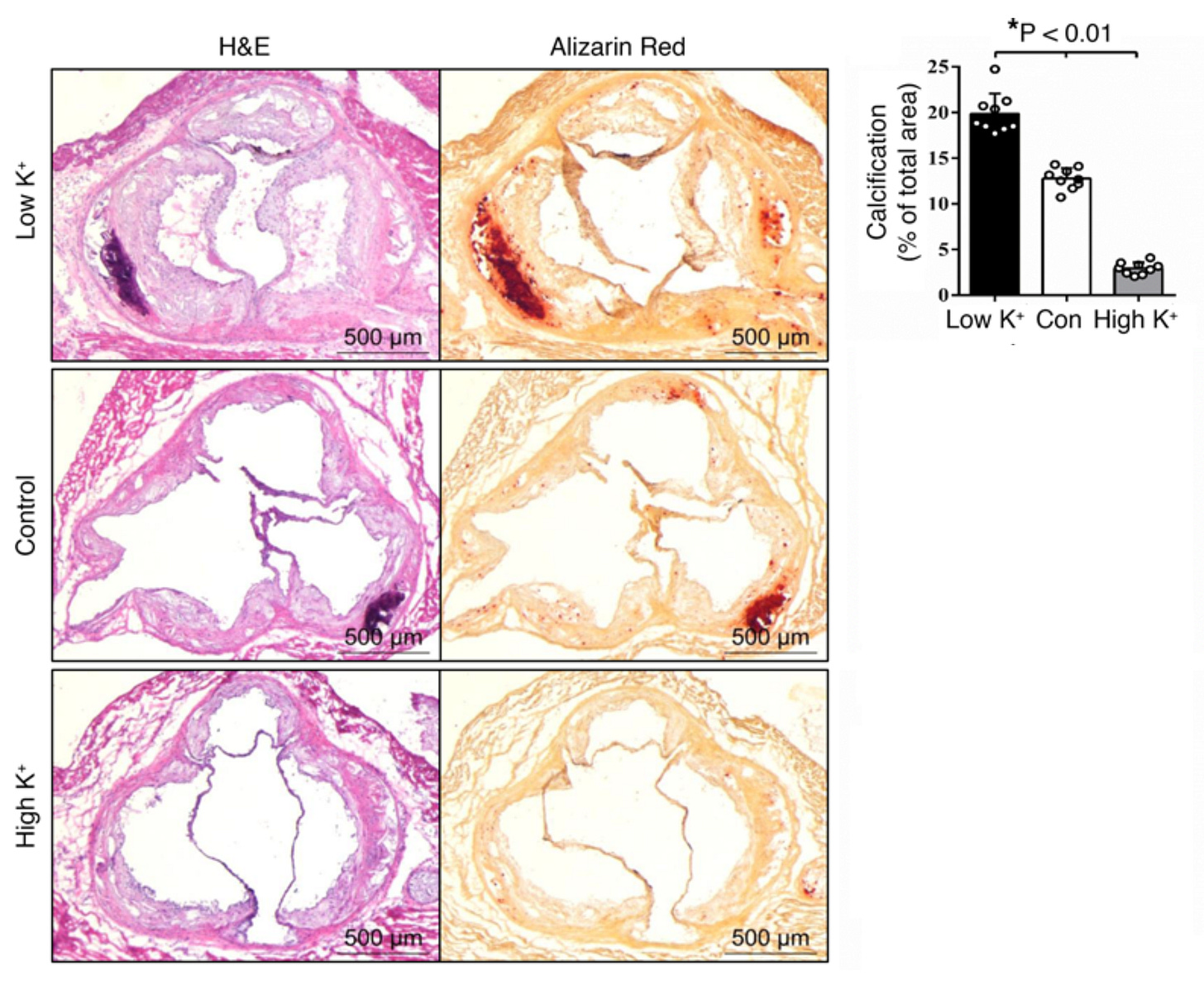
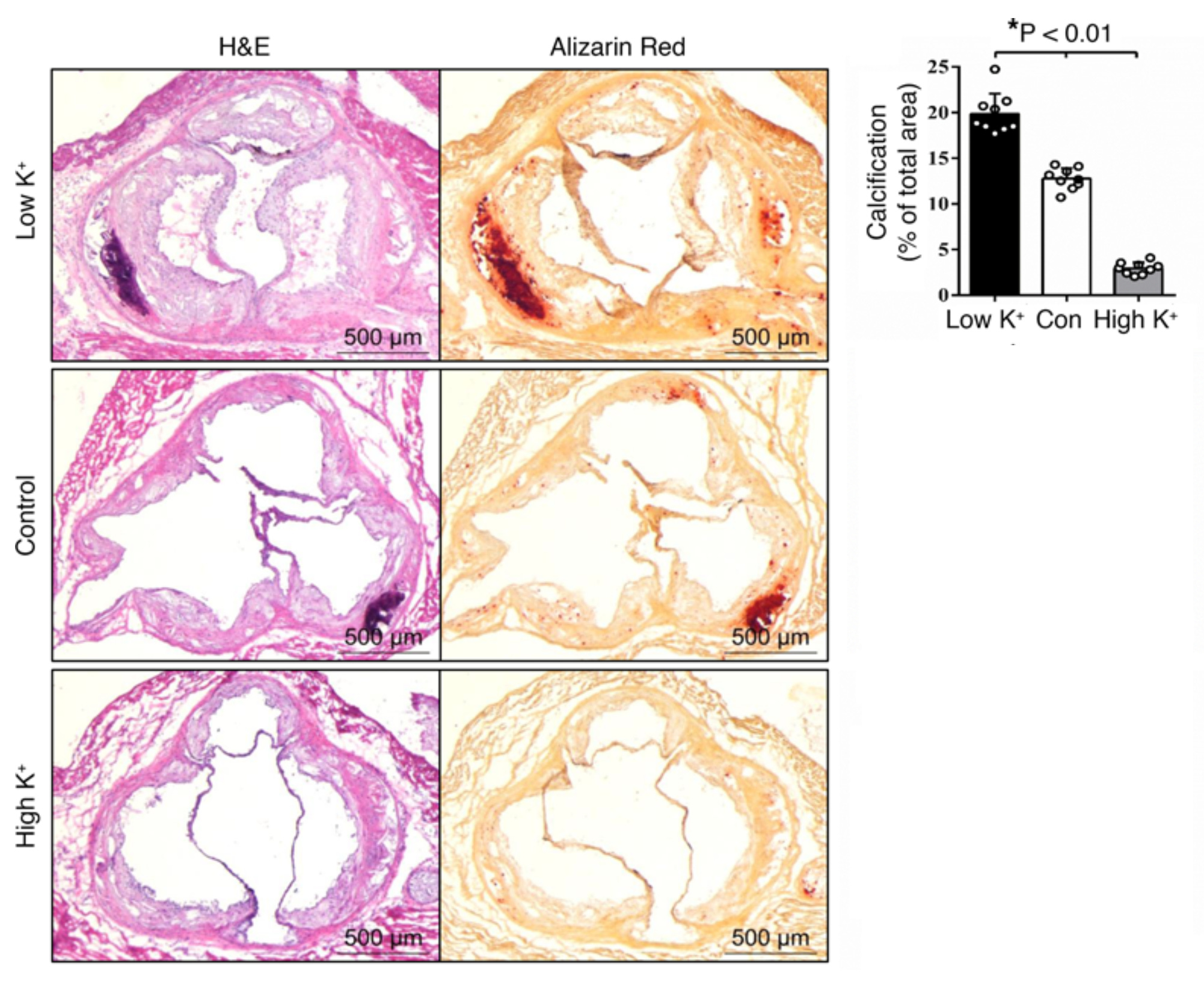
In the study [481], researchers used mice genetically predisposed to atherosclerosis (plaque buildup) and fed them diets with low, moderate (control), or high levels of potassium. When examining their arteries using calcium-detecting stains like Alizarin Red, the results were stark: low potassium mice developed significantly more arterial calcification, while the high potassium group had almost none. Quantitative measures confirmed this step-wise reduction in calcification with increasing potassium intake.
This wasn’t just superficial either. When researchers assessed arterial stiffness via pulse wave velocity (another metric of arterial stiffness), a similar pattern emerged: less potassium meant stiffer arteries.
Microscopic images of the aorta were particularly telling. The blood channel (white) was surrounded by deep red staining indicating calcium. The lower the potassium, the more the aortic wall looked like bone.
Why Is This Happening?
Potassium is vital for normal cellular electrical balance, especially in heart and nerve cells. But the mechanism here seemed more specific. The researchers examined smooth muscle cells (SMCs)—the ones that control vessel constriction and relaxation—and discovered something startling: at low potassium levels, these muscle cells began to behave like bone cells.
In low potassium environments, SMCs hoarded calcium and began expressing genes typically reserved for osteoblasts—the cells responsible for building bone—such as Runx2, osteocalcin (OC), and alkaline phosphatase (ALP).
Conversely, genes related to normal smooth muscle function—like α-smooth muscle actin—were downregulated in potassium-deficient environments. This shift in gene expression suggested the vascular muscle cells were undergoing a type of cellular identity crisis, transforming into cells that promote calcification.
Wait, Are We Sure?
Not quite. This is a mouse study, after all. While extremely useful for understanding biological mechanisms, rodent data doesn’t always translate directly to humans. But the authors do mention that population studies have found correlations between low potassium levels and increased cardiovascular risk [A]—and some studies even hint at less arterial calcification in people with higher potassium intake.
That said, none of these human studies are definitive. Correlation isn't causation, and potassium's effects on artery calcification in people still need to be tested directly in controlled trials.
Ever heard of autophagy (cell self cleaning)? It may play a role.
More detail on the changes that happen within the cells
The role calcium plays in this process of calcification
A Quick Word on Calcification Context
Before we all start chugging potassium supplements, it's worth noting a nuance: not all calcification is necessarily bad. In fact, soft (non-calcified) plaque is more dangerous than calcified plaque, because it’s more prone to rupture and cause heart attacks. So, in a context where plaque already exists, calcification might stabilize it. However, no plaque at all is obviously preferable to any plaque—calcified or not.
So, Should You Up Your Potassium?
Probably—if your intake is low. Potassium is already well-known for its blood-pressure-lowering, heart-protective benefits. And if it also helps reduce harmful vascular calcification? Even better. Just don’t overdo it: excess potassium (especially in people with kidney problems) can be dangerous.
Excellent food sources of potassium include:
Apricots
White and lima beans
Salmon and tuna
Prunes
Some Yogurt
Potatoes
Spinach
Avocados
Main Points
Emerging evidence suggests that low potassium levels may promote artery calcification by transforming vascular smooth muscle cells into bone-like cells. A recent mouse study found that animals on low potassium diets developed significantly more arterial calcification and stiffer arteries, likely due to gene expression changes favoring calcium deposition. While these findings are compelling, they’re not yet definitive in humans. Still, given potassium’s well-established cardiovascular benefits, ensuring adequate intake is a smart move. Potassium-rich foods like beans, fish, and leafy greens can help support heart health—possibly by keeping those arteries clean of calcium.
Nicolas Verhoeven, PhD / Physionic
References
[Study 481] Sun Y, Byon CH, Yang Y, et al. Dietary potassium regulates vascular calcification and arterial stiffness. JCI Insight. 2017;2(19):e94920. doi:10.1172/jci.insight.94920
Funding/Conflicts: Public Funding [NIH; Veteran Affairs Research] // No direct Conflicts of Interest
[A] Xie Y, Mossavar-Rahmani Y, Chen Y, Abramowitz MK, Chen W. Association of Dietary Potassium Intake With Abdominal Aortic Calcification and Pulse Pressure in US Adults. J Ren Nutr. 2023;33(5):657-665. doi:10.1053/j.jrn.2023.06.003




